• Email info@ijcmcs.org
  • Address 848 N. Rainbow Blvd. #5486 Las Vegas, NV 89107, USA
Volume 2, Issue 2
Article Type: Case Report

Nodular fasciitis in a child: A case report of an unusual localisation and literature review

Djeradi Ahyee, MD, MS*; Wassom Patrick, MD; Beaudelaire Romulus Assan, MD, Msc; Karl Ebassa, MD; Jacques Sommier, MD; Marc Janoyer, MD; Cecilia Tolg, MD

Department of Pediatric Surgery, Woman, Mother and Child Hospital, CHU of Martinique, France.

*Corresponding author:  Djeradi Ahyee
Department of Pediatric Surgery, Woman, Mother and Child Hospital, CHU of Martinique, France.
Email ID: djeradi02@gmail.com

Received: Jul 10, 2025
Accepted: Aug 06, 2025
Published Online: Aug 13, 2025
Journal: International Journal of Clinical & Medical Case Studies
Copyright: © Ahyee D (2025). This Article is distributed under the terms of Creative Commons Attribution 4.0 International License

Citation: Ahyee D, Patrick W, Assan BR, Ebassa K, Sommier J, et al. Nodular fasciitis in a child: A case report of an unusual localisation and literature review. Int J Clin Med Case Stud. 2025; 2(2): 1028.

Abstract

We report a rare case of nodular fasciitis in a 12 years old boy. He noticed a rapidly growing swelling in the left supraclavicular region over 6 months. MIR of the shoulder showed a well-limited oval tissue mass within the insertion of the trapezius muscle on the clavicle, taking contrast after gadolinium injection with no signal abnormalities in muscle and bone tissue.

Biopsy was performed and showed medium-sized spindle cells with myofibroblastic differentiation expressing smooth muscle actin in favor of nodular fasciitis. FISH (Fluorescent in Situ Hybridization) showed a rearrangement involving USP6 gene confirming the diagnosis. Nodular Fasciitis (NF) is a rare and benign soft-tissue mass often misdiagnosed as a malignant neoplasm because of it fast and infltrative growth pattern. It should be thought in front of soft-tissue mass with fibroproliferative lesions to avoid misdiagnosis and overtreatment.

Background

Nodular Fasciitis (NF) is a rare and benign soft-tissue mass often misdiagnosed as a malignant neoplasm because of it fast and infltrative growth pattern. It is considered as a reactive process that involves the proliferation of mesenchymal origin cells, such as fibroblasts and myofbroblasts [1]. In adults, NF occurs most commonly in the upper extremities. It can be found at any age and common in adults aged 20-40 years [2]. Its prevalence in children is low, accounting for only 10% of reported cases [3]. In the pediatric population, although NF is most commonly reported to occur in the head and neck, its location may vary. NF was first described as pseudosarcomatous fasciitis by Konwaller et al. in 1955, however, the pathogenesis of NF remains unknown [3]. It often affects histological features [1], similar to subcutaneous and rarely periosteal [3].

Particular localisation had been reported in the orofacial region, in the skin of the face, parotid gland, buccal mucosa, labial mucosa, and tongue [6,7].

We present an unusual presentation of supraclavicular nodular faciitis in a child of 12 years old.

Case report

A 12 years old boy was admited with a non febril and painless swelling of the left supraclavicular region. He noticed a rapidly growing swelling in the left supraclavicular region over 6 months. It started with pain at the begining in the supraclavicular region with stretch mark lesions. There is no prior known history of traumat or infection or wound of the region. We noticed that there was a second cousin in the family treated for an hypothalamic-chiasmatic pilocytic astrocytoma.

Physical examination revealed a child in an excellent general condition with a left supraclavicular mass non swelling and painless with stretch mark lesions. It was a mobile, firm mass, fixed to the deep plane and in relation to the skin (Figures 1). There was no active and passive shoulder limitation, no lymphadenopathy. We noticed some spots on the buttock and the back of the shoulder. Biological tests including hemogram were normal.

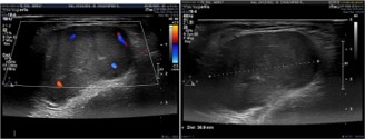
Ultrason showed a well-limited tissue mass of (39 × 23 × 21 mm) within the vascularized trapezius muscle on doppler (Figures 2).

Magnetic Resonance Imaging (MIR) of the shoulder showed a well-limited oval tissue mass of 45 mm diameter within the insertion of the trapezius muscle on the clavicle, taking contrast after gadolinium injection with no signal abnormalities in muscle and bone tissue (Figure 3).

Cerebral and abdominopelvic scan were normal. After discussion about the clinical picture, a biopsy was performed and showed medium-sized spindle cells with myofibroblastic differentiation expressing smooth muscle actin in favor of nodular fasciitis. FISH (Fluorescent in Situ Hybridization) showed a rearrangemnt involving USP6 gene confirming the diagnosis.

Figure 1: Clinical findings.

Figure 2: Ultrason findings.

Figure 3: MIR findings.

Figure 4: Follow up of 06 months.

Figure 5: Ultrason after 06 months.

Table 1: Review of the current literature.
Authors and country Age and gender Time before diagnosis Localisation Dignosis Surgery Outcome
Lääveri et al., Finlande, 2017 7 ans (F) 1 mois Left hemimandible Ultrasson/CT-SCAN/MIR/Anatomopath Yes Good
Eida et al., Japon, 2021 11 ans (F) 2 semaines Left hemimandible X-ray/CT Scan/MIR/Anatomopathology Yes Good
Antunes et al., Portugal, 2013 17 mois (F) 1 jour Cervical region CT Scan/Anatomopathology No Good
Chen et al., Chine 2020 3 ans (F) left nasal cavity CT Scan/MIR/Anatomopathology Yes
Lenyoun et al., Etats Unis, 2008 3 mois (F) 1 mois Left cheek CT Scan/Anatomopathology Yes Good
Halsey et al., Etats Unis, 2020 9 mois (M) Ear No Good
Taleuan et al., Maroc, 2018 16 ans (F) 2 ans Left mandible angle X-ray/CT Scan/MIR/Anatomopathology Yes Good
Haddad et al, Canada, 2001 9 ans (F) 3 semaines Upper commissural region (upper lip) Anatomopathology Yes Good
Volpe et al., Italie, 2022 4 ans (F) Left ear CT Scan/MIR/Anatomopathology Yes Good
Suh et al., Corée, 2014 16 ans (G) 2 mois Left anterior hemithorax CT Scan/AAnatomopathology Yes Good
Seo et al., Corée, 2014 18 ans (F) Chance discovery Right fifth intercostal space CT Scan/Anatomopathology Yes Good
Ko et al., Taïwan, 2013 4 ans (F) 4 mois Intra-articular right knee MIR/Anatomopathology Yes Good
Liu et al., Chine, 2021, 17 mois (F) 4 mois Concha of the right ear Anatomopathology Yes Good
Dworak et al., Etats unis, 2021 16 ans (M) 4 mois left periorbital CT Scan/AAnatomopathology Yes Good
Chan et al., Singapour, 2014 17 ans (M) 2 mois Right knee MIR/Anatomopathology Yes Good
Patel at al., Etats unis, 2021 12 ans (F) 6 mois Near the right eye (zygomatic region) Anatomopathology Yes Good
Mazura et al., Etats unis, 2012 11 ans (F) 2 mois Right major Ultrason/CT Scan/MIR/Anatomopathol Yes Good
Hara et al., Japon, 2010 17 ans (M) 1 mois First interdigital space of the right hand X-ray/CT Scan/MIR/Anatomopathology Yes Good
Wang et al., Chine, 2021 3 ans (F) 1,5 ans Right ear Ultrason/CT Scan/MIR/Anatomopathol Yes Good
Wang et al., Chine, 2021 17 mois (M) 4 mois Right ear pinna Ultrason/MIR/Anatomopathology Yes Good
Wang et al., Chine, 2021 19 mois (M) 6 mois Left ear pinna Ultrason/CT Scan/MIR/Anatomopathol Yes Good

Discussion

Nodular Fasciitis is defined by the WHO as a benign and probably reactive nodular fibroblastic growth. It can be found at any age and common in adults aged between 20-40 years [2]. Its prevalence in children is low, accounting for only 10% of reported cases [2]. The lesion appeared as a homogeneous tissu mass. All clinical presentation in the literature are reported cases (Table 1).

Location

Though common locations described are the upper extremities (48%), the trunk (20%) and less frequently (10-20%) the head and neck [4], the literature refers to certain particular locations as ear cavity, periorbital region, mandible, nasal cavity, intre-articular cavity [2,3,6,8,9]. Our clinical case report a supraclavicular presentation of nodular faciitis in a child. This location had not been yet reported in literature.

Etiology

Initially considered secondary to a trauma, this theory was discarded because there were no history of trauma with all the patient with nodular fasciitis [4].

Clinical presentation

Nodular Fasciitis’s clinical presentation is rather unspecific; the most common presentation is a solitary, rapidly growing solid mass, with frequently or not associated pain and tenderness. Lesions can vary in size, from 0.5 cm to 10 cm, but most are lower than 2-4 cm [4]. With our clinical presentation, the location of the mass, the pain and the duration of evolution made us think of a probably malignant tumor or a Virchow node.

Imaging features

Imaging features can help characterise the lesion and the surrounding anatomy but are also unspecific and, most of the times, insufficient to make the correct diagnosis or differentiate it from malignant lesions. MRI of Nodular Fasciitis shows various signal intensities, probably because of the combination of variability in cellularity. In general, the signal intensity of the lesion with myxoid or cellular histology is higher than that of muscle on T2-weighted images, whereas lesions with fibrous histology present as a markedly hypointense signal compared with the surrounding muscles on all pulse sequences. The coexistence of abundant collagen and a cellularity in the fibrous lesions leads to a reduction in signal intensity on T2-weighted images [2].

MIR features in our case contrast-enhanced using gadolinium revealed increased heterogeneous enhancement which are similar to MIR description in nodular fasciitis reported in the literature [2,4,10].

Histological examination

Nodular Fasciitis arising from subcutis and within muscle often extend between fat cells and muscle cells, respectively. It can be presented as myxoid, granuloma or fibroma tissu and can change during the progressing of the disease. On the microscopic level nodular fasciitis is characterized by the presence of fleshy, regular spindle cells with a type of cellular culture [8].

We observe in this lesion a type of tumoral cell proliferation with immature fibroblastic lesions and rich mitotic activity that may be confused with sarcoma [4]. Most authors agree on the certainty of nodular fasciitis diagnosis, in the presence of USP6 gene rearrangement with a sensibility and a specificity of respectly 93% and 100% [4-8-9]. In our case the lesion was developed at the expense of the left trapezius muscle and histological examination was in line with literature data.

Treatment

The literature mentions surgical resection as being the appropriate treatment with a good prognosis. Recurrences are rare and mainly due to incomplete excisions [2,3]. In addition to surgical resection Chen and All proposed intratumor injection of triamcinolone [6].

If asymptomatic lesions may be treated non operatively, in our case clinical findings and no complains of the patient and the lak of surgical criteria evidence to put our patient under a surgery made us choose for non-surgical management. After 06 months our patient has been seen. Physical examination revealed a child in a excellent general condition with wellpreserved range of motion and no pain. We noticed a considerable reduction in mass (Figure 4).

Ultrason showed a serious decrease of (30 × 22 × 22 mm) in mass size (Figure 5). The patient continue going to school and perform all physical activities.

We will continue our following do detect and consider any abnomalities.

Conclusion

Nodular Fasciitis (NF) is a rare and benign soft-tissue mass often misdiagnosed as a malignant neoplasm because of it fast and infltrative growth pattern.

Its prevalence in children is low, accounting for only 10% of reported cases.

No significant regression without surgery has been reported in the literature. In the pediatric population, a variable presentation has been reported in the literature and all went under surgery. Nodular fasciitis should be thought in front of soft-tissue mass with fibroproliferative lesions to avoid misdiagnosis and overtreatment.

References

  1. Lääveri M, Heikinheimo K, Baumhoer D, Slootweg PJ, Happonen RP. Periosteal fasciitis in a 7-year old girl: a diagnostic dilemma. Int J Oral Maxillofac Surg. 2017; 46: 883–885.
  2. Arredondo Montero J, Dot Gómara T, Hernández-Martín S, Bronte Anaut M, Montes M. Solitary dorsal paravertebral tumor: radiological and histopathological characterization of a pediatric case of nodular fasciitis. An Sist Sanit Navar. 2022; 45: e1025. Spanish.
  3. Lenyoun EH, Wu JK, Ebert B, Lieberman B. Rapidly growing nodular fasciitis in the cheek of an infant: case report of a rare presentation. Eplasty. 2008; 8: e30.
  4. Halsey JN, Hohenleitner J, Ciminello FS. Nodular fasciitis – a rare cause of a rapidly growing ear lesion in a 19-month-old child. Eplasty. 2020; 20: ic13.
  5. Eida S, Hotokezaka Y, Sasaki M, Hotokezaka H, Fujita S, Katayama I, Takagi Y, Sumi M. A case of periosteal fasciitis located in the mandible in a child. Oral Radiol. 2022; 38: 175–181.
  6. Dauendorffer JN, Ortonne N, Bodemer C, Brousse N, Fraitag S. Nodular fasciitis of childhood: a clinicopathological analysis of 10 cases. Ann Dermatol Venereol. 2008; 135: 553–558. French.
  7. Taleuan A, Kamal D, Sebti M, Elalami MN. Nodular fasciitis of the infratemporal fossa: about a case. Pan Afr Med J. 2018; 31: 106.
  8. Antunes SM, Vieira H, Brito A, Oliveira MH. Cervical nodular fasciitis in a 17-month-old child. BMJ Case Rep. 2013; 2013: bcr2013009794.
  9. Haddad AJ, Avon SL, Clokie CM, Sandor GK. Nodular fasciitis in the oral cavity. J Can Dent Assoc. 2001; 67: 664–667.
  10. Della Volpe A, Festa P, Varricchio AM, Russo C, Covelli EM, Bifano D, Piroli P, De Lucia A, Di Stadio A, Ionna F. Diagnosis and treatment of nodular fasciitis of ear region in children: a case report and review of literature. Healthcare (Basel). 2022; 10: 1962.